
Pengapuran Sendi
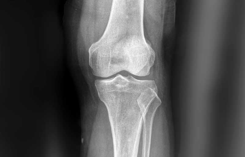
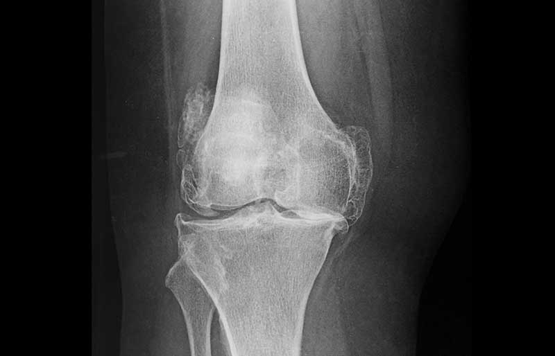
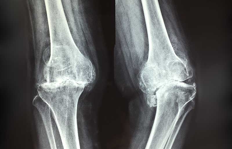
Osteoartritis (penipisan tulang rawan sendi) adalah suatu penyakit di mana tulang rawan mengalami kerusakan, penipisan dan akhirnya hilang sama sekali. Tulang rawan berfungsi melapisi ujung tulang pembentuk sendi agar tulang tidak saling bergesekan secara langsung, sehingga sendi dapat bergerak tanpa ham- batan dan rasa sakit. Osteoartritis adalah penyebab utama nyeri sendi, khususnya lutut dan panggul, pada orang berusia di atas 45 tahun. Osteoartritis sama sekali berbeda dengan osteoporosis (keropos tulang).
Istilah yang lebih populer (meskipun salah kaprah) untuk penyakit osteoartritis adalah pengapuran sendi. Kenyataannya pada osteoartritis sama sekali tidak terbentuk kapur di dalam sendi, tetapi terjadi proses penipisan (aus) tulang rawan. Oleh karena itu, nama yang benar adalah penipisan tulang rawan sendi, bukan pengapuran sendi.
Kerusakan dan penipisan tulang rawan memicu terjadinya proses peradangan sendi (melalui terbentuknya beberapa zat kimia tertentu di dalam sendi), sehingga sendi terasa nyeri dan kadang-kadang membengkak. Jika penipisan semakin berat sehingga tulang rawan hilang sama sekali, maka ujung tulang pembentuk sendi saling bergesekan secara langsung sehingga menimbulkan rasa nyeri yang berat dan gangguan mekanis berupa bunyi “krek-krek” dan sendi menjadi kaku.
Penyebab
Osteoartritis disebabkan oleh kerusakan dan penipisan lapisan tulang rawan sendi. Penyebab kerusakan dan penipisan lapisan tulang rawan sendi pada osteoartritis adalah proses penuaan. Oleh karena itu, sebagian besar manusia akan mengalami penipisan tulang rawan dengan derajad yang berbeda-beda.
GEJALA & TANDA
Pada stadium awal, keluhan penderita osteoartritis berupa nyeri dan kaku sendi setelah lama tidak bergerak; sebagai contoh, lutut terasa sakit dan kaku saat bangun tidur, saat berdiri dari posisi duduk atau saat turun dari mobil, atau saat berjongkok. Lutut juga terasa sakit jika digunakan naik atau turun tangga. Pada stadium yang lebih berat, lutut terasa sakit saat dipakai berjalan, terutama jika berjalan jauh. Sering terdengar bunyi “krek- krek” saat sendi digerakkan.
Untuk mengetahui lebih lanjut tentang pengapuran sendi, silahkan buka PDF dibawah ini